


고관절 수술은 많은 환자들에게 삶의 질을 향상시킬 수 있는 중요한 과정입니다. 그러나 이 수술 후의 회복 기간은 개인의 건강 상태, 수술 방법, 동반 질환, 그리고 개인의 생활 습관 등 다양한 요인에 따라 다르게 나타날 수 있습니다. 이 글에서는 고관절 수술 후 회복 기간을 여러 측면에서 살펴보며, 각 단계에서 필요한 주의 사항과 방법론 등을 상세히 설명할 것입니다. 수술 후의 회복 과정을 이해하는 것은 환자에게 큰 도움이 되며, 보다 효과적인 회복을 도모할 수 있습니다. 또한, 회복 과정에서 겪는 다양한 증상과 그 대처 방법에 대한 정보도 포함할 예정입니다. 이제 고관절 수술 후 회복기간에 대한 전체적인 그림을 그려보겠습니다.
고관절 수술의 이해



고관절 수술은 다양한 이유로 시행될 수 있지만, 일반적으로는 고관절 관절염, 외상, 또는 선천적인 기형 등으로 인해 통증이나 기능 저하가 나타날 때 이루어집니다. 이 수술에는 인공관절 치환술, 관절경 수술 등의 방법이 있으며, 각각의 수술 방법은 회복 단계와 필요한 시간에 서로 영향을 미칩니다. 고관절 수술의 주된 목적은 통증을 감소시키고, 이동성과 일상생활의 질을 향상시키는 것입니다. 그러므로, 환자는 수술 후 생활 습관을 조절하고, 적극적인 rehabilitative 간호를 통해 빠른 회복을 도모해야 합니다.
고관절 수술 유형



고관절 수술에는 여러 가지 유형이 존재합니다. 각각의 수술은 서로 다른 접근 방식을 가지고 있으며, 회복 기간 및 필요한 관리 방법이 상이합니다.
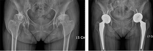
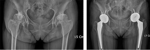
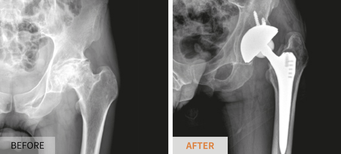
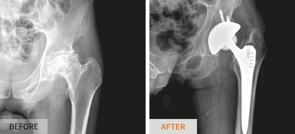
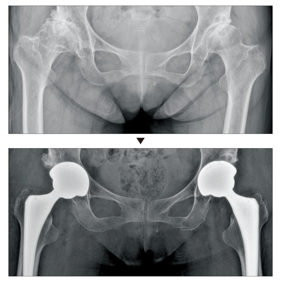
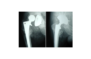
- 인공관절 치환술: 가장 일반적인 고관절 수술입니다. 퇴행성 관절염이나 심한 외상으로 인해 고관절이 손상된 경우, 인공 관절로 대체합니다. 이 수술은 대개 1-2시간 가량 소요되며, 회복이 길어질 수 있습니다.
- 관절경 수술: 최소침습 수술 방식으로, 작은 절개로 카메라와 기구를 삽입해 손상된 조직을 치료합니다. 회복 기간은 일반적으로 짧지만, 재활이 중요합니다.
- 고관절의 재건 수술: 이를 통해 고관절의 기능을 복원할 수 있습니다. 주로 젊은 환자에게 시행되며, 회복 과정에서 신체의 자연 치유 과정을 중요하게 생각해야 합니다.
각 수술 방식에 따라 환자의 상태를 고려한 특화된 치료 계획이 필요합니다. 예를 들어, 인공관절 치환술을 받을 경우에는 십여 주의 회복 기간 동안 물리 치료와 약물 치료가 반드시 포함되어야 합니다. 반면 관절경 수술의 경우에는 초기 회복 단계에서의 가벼운 운동과 체중 부하가 더 강조될 수 있습니다.
회복의 단계와 기간



고관절 수술 후 회복은 여러 단계를 거치며, 각 단계는 환자의 상태에 따라 다소 차이가 날 수 있습니다. 일반적으로 수술 후 회복 기간은 6주에서 12주 정도 소요되고, 이 때 수술 후 관리와 물리 치료가 필수적입니다. 아래 각 단계에 대해 자세히 알아보겠습니다.
초기 회복 단계



수술 직후 병원에서의 초기 회복 단계는 매우 중요합니다. 대부분의 환자는 수술 후 1-2일 내에 퇴원하게 되며, 이 시점에서 충분한 휴식과 통증 관리가 필요합니다. 의료진은 통증 완화제와 항생제를 처방할 것이며, 환자는 아래와 같은 사항을 주의 깊게 이행해야 합니다.
- 통증 관리: 수술 후 첫 48시간은 통증이 가장 심할 수 있습니다. 이 때는 의사와 상담하여 적절한 통증 완화제를 사용하는 것이 중요합니다.
- 부종 관리: 다리 부종은 흔한 증상입니다. 다리를 높이 올리고, 냉찜질을 통해 부종을 줄이는 방법이 유효합니다.
- 일상적 움직임: 병원 내에서는 간단한 움직임을 시작해야 합니다. 기구를 이용한 보행 연습이 필요합니다.
이 초기 단계에서의 적절한 관리가 재활 과정에 크게 영향을 미치므로 극복하는 것이 필요합니다.
재활 훈련



수술 후 2주 정도 지나면 본격적인 재활 훈련이 시작됩니다. 물리 치료사와의 상담하에 맞춤형 프로그램이 운영되며, 이 과정에서 주요 목표는 관절의 가동 범위를 회복하고, 근력을 강화하는 것입니다.
- 가동 범위 운동: 고관절의 유연성을 회복하기 위한 다양한 운동이 필요합니다. 초기에는 간단한 스트레칭부터 시작하여 점차 난이도를 높여가야 합니다.
- 근력 훈련: 다리와 엉덩이의 근력을 강화시키기 위한 다양한 운동이 필요합니다. 이를 통해 일상적인 움직임을 회복할 수 있습니다.
- 균형 훈련: 넘어지는 것을 방지하기 위한 균형 훈련도 중요한 부분입니다. 스탠드와 같은 기구를 이용하여 반복적인 연습이 필요합니다.
재활 훈련은 반드시 전문가와 함께해야 하며, 각 개인의 상황에 맞춰 조정되어야 합니다. 이 단계에서 규칙적인 운동이 이루어지지 않으면 회복이 지연될 수 있습니다.
완전 회복 단계



수술 후 약 6주가 경과하면 상당한 회복이 이루어집니다. 이 단계에서는 보다 일상적인 활동을 재개할 수 있으며, 대부분의 환자가 독립적으로 걷고 일상 생활을 할 수 있는 능력을 회복하게 됩니다.
- 운동 재개: 통증이 줄어들고 일상 생활이 가능해짐에 따라 더 많은 활동을 시작할 수 있습니다. 하지만 지나치게 무리하지 않도록 각별한 주의가 필요합니다.
- 체중 부하: 체중 부하를 점차적으로 증가시켜야 합니다. 처음에는 크러치나 보행기 등을 사용하고, 점차적으로 홀로 걷는 연습을 합니다.
- 사회적 활동: 사회적 활동 참여를 늘려가는 것도 중요한 요소입니다. 전반적인 심리적 안정성이 회복되는 데 도움이 됩니다.
이 단계에서의 체계적인 관리를 통해 최종적인 삶의 질 향상을 도모할 수 있습니다. 완전 회복 단계에서 환자는 수술 전보다 더 높은 수준의 활동성을 가질 수 있습니다.
회복 기간 중 유의사항



고관절 수술 후 회복 기간 중에는 여러 가지 유의해야 할 사항들이 존재합니다. 당연히 개인차가 있지만, 일반적인 지침을 따르는 것이 효율적인 회복에 도움이 됩니다. 이 지침은 환자와 주변 인물 모두에게 도움이 되는 내용입니다.
생활 습관 개선



- 건강한 식습관: 단백질과 비타민, 미네랄이 풍부한 음식은 회복을 돕는 데 크게 기여할 수 있습니다. 과일, 채소, 견과류 등을 통한 균형 잡힌 식사가 중요합니다.
- 금연 및 음주 절제: 흡연과 과도한 음주는 회복을 저해할 수 있습니다. 특히 흡연자는 손상된 혈류로 인해 회복 기간이 길어질 수 있습니다.
- 수면 관리: 충분한 수면은 다음 날의 회복에 중요한 요소입니다. 편안한 환경에서의 숙면이 필요합니다.
이러한 생활 습관의 개선은 전반적인 회복 기간 동안의 증상을 완화하고, 치료과정을 원활하게 진행할 수 있도록 돕습니다.
정기적인 병원 방문



정기적인 병원 방문은 회복의 핵심입니다. 의사에게 수술 후 경과를 확인받고, 필요한 치료를 받을 수 있습니다. 환자는 아래 사항에 주의해야 합니다.
- 정기 검진: 수술 후 정기적으로 검진을 받아야 합니다. 이는 합병증을 예방하고, 조기에 문제를 발견하는 데 도움이 됩니다.
- 증상 모니터링: 평소와 다른 증상이 나타났을 때 즉시 의료진에게 상담해야 합니다. 통증이 심해지거나 부종이 발생할 경우 즉시 연락해야 합니다.
- 진단적 검사: 의사가 필요할 경우 정기적으로 X-ray나 MRI를 통해 관절의 상태를 체크할 수 있습니다.
이 모든 과정은 환자 본인의 회복 속도와 합병증 예방에 큰 영향을 미칠 것입니다.
결론



고관절 수술은 많은 환자들에게 새로운 삶의 가능성을 열어주는 중요한 단계입니다. 그러나 회복 기간 동안의 적절한 관리와 노력이 없으면 그 혜택을 누릴 수 없습니다. 따라서 수술 후의 회복 과정은 환자 개인의 적극적인 참여와 의료팀의 도움을 통해 이루어져야 합니다. 대체로 초기 회복, 재활 훈련, 그리고 완전 회복 단계로 나뉘는 과정 속에서 다양한 유의사항을 신경 써야 합니다. 생활 습관 개선과 정기적인 병원 방문 또한 회복의 중요한 요소라는 점을 명심해야 합니다. 고관절 수술을 마친 뒤에는 조금씩 활기를 되찾는 자신의 모습을 기대하며, 한 걸음씩 나아가세요. 결국 삶의 질이 향상되는 경험은 여러분이 따라야 할 여정이 될 것입니다. 마지막으로, 어려운 점이 있을 경우 주저하지 않고 전문가와 상담하는 것을 추천드립니다.