


관상동맥 석회화는 우리가 심장 건강을 논할 때 매우 중요한 주제 중 하나입니다. 심장은 우리 몸의 중심 기관으로서, 혈액을 통해 산소와 영양소를 각각의 세포에 공급하는 역할을 합니다. 그러나 관상동맥에 석회화가 발생할 경우, 이는 심혈관 질환의 위험을 증가시키는 요소로 작용할 수 있습니다. 이 블로그 포스트에서는 관상동맥 석회화의 정의, 원인, 증상, 진단 방법, 치료 옵션 및 예방법에 대해 자세하게 설명하겠습니다. 또한 여러분이 이해하기 쉬운 예시와 함께 이 주제를 깊이 있게 다루어 보겠습니다.
관상동맥 석회화란 무엇인가?



관상동맥 석회화는 관상동맥의 벽에 칼슘이 축적되는 상태를 말합니다. 이 과정은 일반적으로 노화와 관련이 있으며, 심혈관계 질환의 지표로 잘 알려져 있습니다. 관상동맥은 심장에 혈액을 공급하는 주요 혈관으로, 이곳에 석회화가 발생하면 혈액의 흐름이 방해받고 심장으로 가는 산소와 영양소의 수급에 어려움을 초래할 수 있습니다. 이 상태는 종종 무증상이기 때문에, 발견되었을 때 이미 심각한 문제로 발전해 있을 가능성이 높습니다.
관상동맥 석회화의 원인



관상동맥 석회화의 원인은 다양합니다. 주된 원인 중 하나는 동맥경화증입니다. 동맥경화증은 혈관 내벽에 콜레스테롤, 지방 및 다른 물질이 쌓여서 혈관이 좁아지거나 막히는 상태를 의미합니다. 이와 더불어 고혈압, 흡연, 불규칙한 식습관, 비만 등의 위험 요소들도 석회화에 큰 영향을 미칩니다.
- 노화: 나이가 들수록 혈관 벽에 칼슘이 쌓이기 쉬워지며, 이는 특히 50세 이상의 성인에게서 흔히 관찰됩니다.
- 동맥경화증: 고혈압, 고지혈증과 같은 많은 심혈관계 질환의 배경에 동맥경화증이 있습니다.
- 라이프스타일 요인: 흡연, 운동 부족, 불균형한 식습관 등이 석회화의 주요 원인으로 작용합니다.
- 유전적 요인: 가족력 또한 석회화 발생의 위험 요소로 여겨집니다.
동맥경화증과 석회화의 관계



동맥경화증은 관상동맥 석회화와 밀접한 관계가 있습니다. 동맥경화가 진행되면 혈관 내벽에 지방덩어리와 염증 세포가 축적되고, 이곳에 칼슘이 쌓이게 됩니다. 이러한 과정은 시간이 지남에 따라 점차 진행되며, 이를 통해 관상동맥의 유연성이 떨어지고 혈액의 흐름이 저해됩니다. 결과적으로, 협심증이나 심근경색과 같은 중대한 심장 질환으로 이어질 수 있습니다.
관상동맥 석회화의 증상



관상동맥 석회화는 초기에는 대개 증상이 없지만, 질병이 진행됨에 따라 심각한 증상이 나타날 수 있습니다. 일반적으로 석회화가 많이 진행되면 다음과 같은 증상이 나타납니다.
- 가슴 통증: 가슴 압박감이나 통증이 느껴질 수 있습니다. 이는 혈액이 심장으로 충분히 공급되지 않을 때 발생합니다.
- 호흡 곤란: 운동 시 혹은 신체적 활동 중 호흡이 어렵거나 힘들 수 있습니다.
- 피로감: 평소보다 쉽게 피로감을 느끼고, 일상적인 활동조차 힘들어질 수 있습니다.
증상 발생의 중요성



관상동맥 석회화의 증상은 종종 심 혈관 질환과 연결되어 있기 때문에, 이러한 증상이 나타날 경우 즉시 의료 전문가와 상담해야 합니다. 특히, 가슴 통증이나 호흡 곤란 같은 증상은 심각한 문제의 신호일 수 있으며, 조기 진단 및 치료가 절대적으로 중요합니다.
관상동맥 석회화의 진단 방법



관상동맥 석회화의 진단은 여러 가지 방법을 통해 이루어질 수 있습니다. 의사는 병력과 신체검사를 바탕으로 초기 판단을 내리며, 추가적인 검사로 환자의 심장과 혈관 상태를 평가합니다.
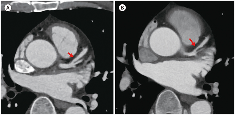
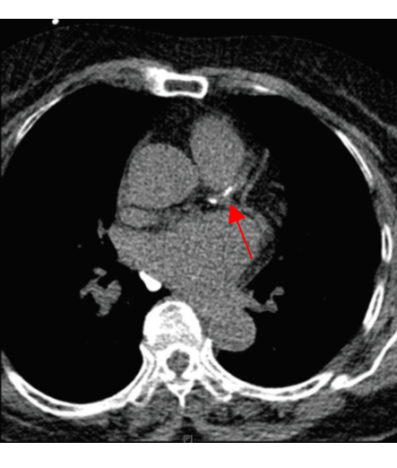
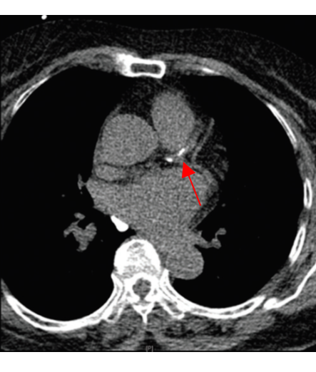
- CT 스캔: 관상동맥 석회화의 상태를 명확하게 볼 수 있는 비침습적인 검사 방법으로, 좌우 심장관의 석회화 수준을 확인할 수 있습니다. 많은 경우, 이 검사는 영화 한 편 보는 시간 안에 가능하여 매우 효율적입니다.
- 심장 초음파: 심장의 기능과 구조를 실시간으로 확인할 수 있는 검사 방법입니다. 혈류와 혈관 상태를 분석할 수 있어 초기 진단에 유용합니다.
- 혈액 검사: 콜레스테롤 수치와 염증 지표를 통해 심혈관 질환의 위험도를 평가합니다.
각각의 검사 방법은 환자의 상태와 병력에 따라 적합성이 다르며, 적절한 방법을 결정하기 위해 반드시 전문가와 상담해야 합니다.
관상동맥 석회화의 치료 옵션



관상동맥 석회화의 치료는 상태의 심각도와 환자의 전반적인 건강 상태에 따라 다양하게 이루어집니다. 치료 방법에는 약물 요법, 생활 습관 변화, 그리고 경우에 따라 침습적 절차가 포함될 수 있습니다.
- 약물 치료: 고콜레스테롤 혈증이나 고혈압을 억제하기 위한 약물이 처방될 수 있습니다. 이러한 약물은 석회화가 더 심각해지는 것을 막기 위한 중요한 수단입니다.
- 생활 습관 변화: 규칙적인 운동, 균형 잡힌 식사, 금연 등이 권장됩니다. 이런 변화들은 심혈관 건강을 유지하는 데 필수적입니다.
- 침습적 치료: 상황에 따라 스텐트 삽입이나 혈관 우회 수술이 필요할 수도 있습니다. 이러한 수술적 방법은 혈류를 개선하는 데 매우 효과적입니다.
모든 치료는 전문가의 판단에 따라 개별적으로 진행되어야 하며, 정기적인 검진을 통해 상태를 지속적으로 모니터링하는 것이 중요합니다.
관상동맥 석회화의 예방법



관상동맥 석회화를 예방하기 위해서는 일상 생활에서 건강한 습관을 유지하는 것이 가장 중요합니다. 다음과 같은 간단하지만 효과적인 방법들이 있습니다.
- 건강한 식단: 과일, 채소, 통곡물, 저지방 단백질 등을 포함한 균형 잡힌 식사를 섭취하며, 특히 포화 지방과 트랜스 지방의 섭취를 줄이는 것이 중요합니다.
- 정기적인 신체 활동: 주당 최소 150분 이상의 유산소 운동을 권장합니다. 걷기, 조깅, 수영 등은 심혈관 건강에 큰 도움이 됩니다.
- 금연: 흡연은 관상동맥 질환의 주요 원인 중 하나입니다. 금연은 심장 건강을 크게 개선할 수 있습니다.
- 정기적인 건강 검진: 고혈압, 고콜레스테롤 및 당뇨병의 조기 발견과 관리는 석회화 예방에 필수적입니다.
이러한 예방법을 통해 관상동맥 석회화의 위험을 줄일 수 있으며, 건강한 심장과 혈관을 유지하는 데 기여할 수 있습니다.
결론



관상동맥 석회화는 심혈관 건강에 중대한 영향을 미치는 문제이며, 이를 이해하고 예방하는 것이 중요합니다. 우리는 석회화의 원인과 증상, 진단 및 치료 방법에 대해 알아보았습니다. 또한, 생활 습관을 개선하여 석회화를 예방하는 방법에 대해서도 강조했습니다. 건강한 삶을 위한 첫걸음은 우리 스스로의 노력으로 시작된다는 점을 기억해야 합니다. 건강한 심장을 유지하기 위해 줄곧 노력하고, 필요한 경우 전문가의 도움을 받는 것이 중요합니다.