


뇌출혈 수술 후 의식 회복은 환자와 가족 모두에게 매우 중요한 주제입니다. 뇌출혈이란 뇌 내부 또는 외부의 혈관이 터져 혈액이 뇌로 세어나가는 상태를 말하며, 이는 심각한 신경학적 손상을 초래할 수 있습니다. 그런 이유로, 뇌출혈 수술은 중요한 치료 방법 중 하나입니다. 하지만 수술 후에도 환자의 의식 상태가 어떻게 회복될지에 대한 관심은 끊이지 않습니다. 이 블로그 포스트에서는 뇌출혈 수술 후 의식 회복을 효과적으로 살펴보는 데 필요한 정보를 제공하겠습니다.
뇌출혈의 이해와 그 치료 과정



우선, 뇌출혈이 무엇인지 더 깊이 이해할 필요가 있습니다. 뇌출혈은 크게 두 가지 유형으로 나눌 수 있습니다: 외상성 출혈과 비외상성 출혈입니다. 외상성 출혈은 사고나 외부 충격으로 인해 발생하며, 비외상성 출혈은 고혈압이나 혈관 기형 등 내부적인 원인으로 나타납니다. 출혈이 발생하면, 뇌 조직이 압박을 받아 기능이 저하되거나, 뇌 세포가 손상을 입게 됩니다. 이로 인해 다양한 신경학적 증상이 나타날 수 있으며, 빠른 치료가 반드시 필요합니다.
치료 과정은 일반적으로 다음과 같은 단계로 이루어집니다:
- 응급처치: 출혈이 발견되면 즉시 응급조치를 취해야 하며, 수술이 필요한 경우, 빠르게 병원으로 이송되어야 합니다.
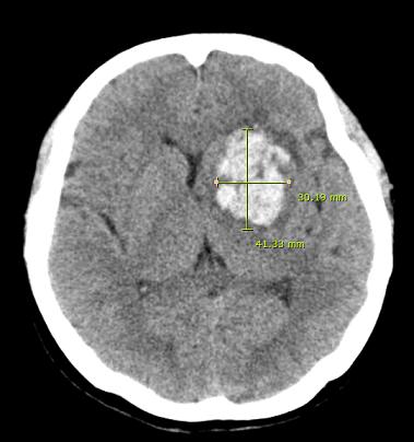
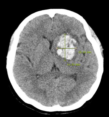
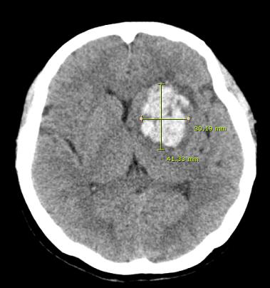
- 진단 및 평가: CT 또는 MRI 스캔을 통해 출혈의 위치, 정도 및 환자의 전반적인 상태를 파악합니다.
- 수술: 상황에 따라 출혈을 제거하고, 필요한 경우 뇌의 압력을 줄이기 위한 수술을 시행합니다.
- 회복 단계: 수술 후, 환자는 집중치료실에서 의식 상태를 면밀히 모니터링 받고, 회복 과정을 거칩니다.
수술 후 회복은 여러 요인에 따라 달라질 수 있으며, 이는 환자의 나이, 전반적인 건강 상태, 출혈의 지속 시간 등에 영향을 받습니다.
수술 후 의식 회복 과정



뇌출혈 수술 후 의식 회복 과정은 매우 복잡하며, 개인차가 큽니다. 일반적으로 회복 과정은 여러 단계로 나누어 질 수 있습니다. 의식의 회복은 감각적인 인식부터 시작하여, 점차적으로 자신의 환경과 상호작용할 수 있는 능력으로 이어집니다.
의식 회복의 다양한 단계



의식이 회복되는 과정은 다음과 같은 단계를 포함합니다:
- 혼미 상태: 수술 직후에는 대부분의 환자가 혼미한 상태를 겪습니다. 이 단계에서는 자아 인식이나 외부 자극에 대한 반응이 거의 없는 상태입니다.
- 혼곤 상태: 이 단계에서는 환자가 외부 자극에 대해 반응하기 시작하지만, 주의력이 떨어지는 경향이 있습니다.
- 명료한 인식 상태: 의식이 점차 회복되면, 환자는 주변 환경을 인식하고, 간단한 질문에 답할 수 있는 능력이 생깁니다.
- 사회적 상호작용: 의식이 더 회복되면, 환자는 가족과의 대화가 가능해지며, 주변 상황에 적절하게 반응할 수 있습니다.
이러한 단계의 회복 과정은 몇 주에서 몇 달까지 소요될 수 있습니다. 필요한 경우 물리치료, 작업치료, 언어치료 등 다양한 재활치료가 병행될 수 있습니다.
개인별 회복의 유인 요인



뇌출혈 후 의식 회복에 영향을 미치는 여러 요인이 존재합니다.
- 개인의 건강 상태: 환자의 나이, 병력, 그리고 출혈 발생 이전의 건강 상태가 회복에 큰 영향을 미칩니다.
- 출혈의 정도: 뇌에 손상이 가해진 정도가 크면 클수록 의식 회복에는 더 오랜 시간이 걸릴 수 있습니다.
- 치료의 효율성: 초기 치료의 적절성과 시행 시점이 회복에 영향을 미칩니다.
따라서, 환자의 회복을 지원하기 위해서는 전반적인 관리가 필요합니다. 의사와 상의하여 개인에 맞는 회복 계획을 세우는 것이 중요합니다.
환자와 가족의 지원 체계



뇌출혈 수술 후 회복 과정에서 환자뿐만 아니라 가족의 역할도 매우 중요합니다. 환자와의 적극적인 소통과 정서적인 지지가 의식 회복에 긍정적인 영향을 미친다고 알려져 있습니다. 가족은 환자가 필요로 하는 지지체계로 작용할 수 있으며, 이 과정에서 함께하는 경험은 소중한 자원이 될 수 있습니다.
정서적 및 심리적 지원



정서적 지원은 환자의 의식 회복 과정에서 필요한 요소 중 하나입니다. 회복 동안 환자는 불안, 우울감, 두려움과 같은 다양한 감정을 경험할 수 있습니다. 가족이 이러한 감정을 인지하고, 이해하고, 올바르게 대응하는 것이 중요합니다.
- 의사소통을 통한 공감: 환자가 원하는 만큼 대화하고, 그들의 감정을 이해하는 것이 중요합니다. 때로는 환자가 말이 없더라도, 미소나 간단한 제스처를 통해 소통할 수 있습니다.
- 전문가의 도움 요청: 필요에 따라 심리상담사와 함께하는 것이 도움이 됩니다. 전문가는 환자와 가족이 필요한 전략을 찾을 수 있도록 도와줄 수 있습니다.
물리적 환경 조성



환자가 회복하는 데 필요한 물리적 환경도 매우 중요합니다. 다음과 같은 요소들을 고려해야 합니다:
- 조용한 환경 유지: 회복 초기에는 환자의 집중력이 떨어져 있고, 외부 자극에 민감한 반응을 보일 수 있습니다. 따라서 조용한 환경을 만드는 것이 도움이 된다고 알려져 있습니다.
- 편안한 침대와 가구: 환자가 안정적으로 쉴 수 있는 공간이 마련되어야 합니다. 이로 인해 편안한 회복 환경을 제공할 수 있습니다.
이러한 다양한 방법들을 통해 환자의 의식 회복에 도움을 줄 수 있습니다. 가족의 지지와 환경의 조화가 함께 이루어질 때, 환자는 긍정적인 회복 과정을 경험할 가능성이 높아집니다.
결론
결론적으로, 뇌출혈 수술 후 의식 회복은 다면적인 과정입니다. 각각의 환자는 고유한 인생과 역사를 지니고 있으며, 이 회복 과정 역시 서로 다르게 진행됩니다. 중요한 것은 환자와 가족이 함께 이 과정을 인내하고, 서로 지지하며 나아가는 것입니다. 의식 회복은 환자가 자신을 다시 인식하고, 사회에서 다시 온전한 삶을 살아갈 수 있는 기회를 제공합니다. 따라서, 뇌출혈 수술 후의 회복 과정에서 긍정적인 환경과 지원이 필수적입니다. 이런 노력이 혼자서는 할 수 없는 일임을 깨닫고, 함께 손을 맞잡고 나아가는 것, 그것이야말로 회복의 가장 큰 힘이 아닐까 생각합니다.