


대장 선종, 즉 대장 내의 선종은 많은 사람들이 한 번쯤 들어봤을 법한 용어입니다. 하지만 그 실체와 증상, 치료 방법에 대해 아는 사람은 많지 않습니다. 대장 선종은 단순한 건강 문제가 아니라, 조기 발견과 적절한 관리가 필요한 질병입니다. 이 글에서는 대장 선종이 무엇인지, 어떻게 발생하는지, 어느 정도의 위험성을 가지고 있는지, 그리고 예방과 치료 방법에 대해 깊이 있는 설명을 제공하고자 합니다. 대장 선종은 대장암으로 진행될 수 있는 잠재적 위험 요인인 만큼, 이 주제에 대한 정확하고 충분한 이해가 필요한 시점입니다.
대장 선종의 정의와 종류



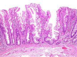
대장 선종은 일반적으로 대장 내벽에서 발생하는 비정상적인 세포 성장으로, 이는 대부분 양성입니다. 그러나 일부 유형의 선종은 악성 변화를 일으킬 수 있는 가능성이 있습니다. 대장 선종은 크게 다음과 같은 종류로 분류할 수 있습니다:
- 타입 1: 선종 - 이 유형은 가장 일반적이며, 세포 구조가 비정상적으로 변화되는 것이 특징입니다. 이들은 대개 작고, 대장 점막 위에 튀어나온 형태로 나타납니다. 대부분은 종양이 아닌 비후성 변화입니다.



- 타입 2: 위선종 - 이 유형은 선의 구조가 더 복잡해지며, 대장암으로 발전할 가능성이 높아집니다. 이들은 비교적 큰 크기로 성장하며, 정기적인 검사가 필요합니다.
- 타입 3: 선종성 대장 용종 - 이 유형은 가장 위험한 것으로, 암으로 발전할 가능성이 큽니다. 조기 발견과 제거가 필요한 이유입니다.
대장 선종은 대개 대장 내시경 검사 시 발견되며, 그 크기와 형태에 따라 필요 시 생검이 진행될 수 있습니다. 이러한 검사들은 조기 발견과 예방 조치에 중요한 역할을 합니다. 따라서 정기적인 검진이 매우 중요합니다.
대장 선종의 증상



대장 선종은 대부분 증상이 없는 경우가 많습니다. 그러나 특정한 경우에는 다음과 같은 증상이 나타날 수 있습니다:
- 변화된 배변 습관 - 평소와 다른 방식의 변을 볼 때가 많아질 수 있습니다. 예를 들어, 설사와 변비가 번갈아 나타날 수 있습니다.
- 복통 - 특히 대장 선종이 커질 경우, 복부에 불편함이나 통증을 느낄 수 있습니다. 이는 선종이 대장에서의 통과를 저해할 때 발생합니다.
- 체중 감소 - 이유 없이 체중이 감소하는 경우도 있으며, 이는 대장의 기능 저하와 관련이 있을 수 있습니다.
- 혈변 - 선종이 출혈할 경우, 변에 혈액이 섞여 나오는 경우가 발생할 수 있습니다. 이는 즉시 의료기관에 방문해야 하는 중요한 신호입니다.



대장 선종의 증상은 매우 다양하며, 때로는 다른 위장 질환과 유사할 수 있습니다. 그러므로 이러한 증상이 나타날 경우, 자가 진단보다는 전문의와 상담하는 것이 중요합니다. 의사의 조언에 따라 필요한 검사를 통해 정확한 진단을 받는 것이 최선의 방법입니다.
대장 선종의 원인과 위험 요소



대장 선종이 발생하는 원인은 다양하며, 여러 가지 위험 요소가 존재합니다. 이들 요소는 개개인의 유전적 요인 및 환경적 요인과 밀접한 관련이 있습니다. 가장 일반적인 원인은 다음과 같습니다:
- 유전적 요인 - 가족력이 있는 경우 대장 선종 및 대장암 발생 가능성이 높아집니다. 유전성 대장암 증후군인 폴리포시스와 린치 증후군은 특히 주의가 필요합니다.
- 나이 - 나이가 많아질수록 대장 선종 발생 가능성이 증가합니다. 일반적으로 50세 이상의 성인에게서 더 많이 발견됩니다.
- 식습관 - 고지방, 고단백 식단이나 섬유질이 부족한 식습관은 대장 선종의 발생 위험을 높일 수 있습니다. 반면, 과일과 채소를 포함하는 건강한 식단은 위험을 낮출 수 있습니다.



- 비만 - 비만 역시 대장 선종 및 대장암의 위험성을 높이는 요인으로, 균형 있는 체중 유지가 중요합니다.
- 음주 및 흡연 - 과도한 음주와 흡연은 대장 건강에 악영향을 미친다, 이는 대장 선종은 물론 여러 가지 질환의 발생 위험을 증가시키는 요인입니다.
위험 요소들을 이해하고 이를 관리하는 것이 대장 선종 예방에 필수적입니다. 필요 시 전문의의 상담을 통해 개인의 건강 상태를 점검하는 것이 바람직합니다. 건강한 생활 습관을 유지하여 대장 선종의 발생 위험을 최소화하는 것이 중요합니다.
대장 선종의 예방과 치료 방법



대장 선종은 조기에 발견하면 치료가 용이하므로 정기적인 검진이 필수적입니다. 예방과 치료에 대한 방법은 다음과 같습니다:
- 정기적인 스크리닝 - 개인의 나이와 가족력에 따라 적절한 시기에 대장 내시경을 통해 정기적인 검사를 받는 것이 중요합니다. 대개 50세부터는 매년 또는 매 5년 간격으로 검진을 받는 것을 권장합니다.
- 식습관 개선 - 균형 잡힌 식단을 유지하고, 식이섬유가 풍부한 과일과 채소를 충분히 섭취하는 것이 중요합니다. 이는 대장 건강에 도움을 줄 뿐 아니라, 전반적인 건강에도 긍정적인 영향을 미칩니다.
- 운동과 체중 관리 - 규칙적인 운동은 비만을 예방하고 대장 건강을 유지하는 데 도움을 줍니다. 체중을 적정 범위에 유지하는 것이 중요합니다.
- 음주와 흡연 줄이기 - 과도한 음주와 흡연은 대장 건강에 부정적인 영향을 미치므로, 이를 줄이는 노력이 필요합니다.



대장 선종이 진단된 경우, 치료는 통상 대장 내시경을 통한 제거나 필요시 수술이 이루어집니다. 무엇보다 중요한 것은 조기 발견과 예방을 위한 정기 검진이라는 점입니다. 건강한 대장을 유지하기 위한 습관을 지속적으로 실천하며, 필요 시 전문가의 상담을 받는 것이 중요합니다.
결론



대장 선종은 작은 선종일지라도 악성으로 변할 수 있는 가능성이 있는 만큼, 정기적인 검진을 통해 조기에 발견하고 예방하는 것이 매우 중요합니다. 생활 습관을 점검하고 바꾸는 것이 질병 예방의 첫 걸음입니다. 설사나 복통 등의 비정상적인 증세가 나타난다면, 주저하지 말고 전문가와 상담하시길 권장합니다. 대장 건강은 우리의 삶의 질과 직결되므로, 적극적인 자세로 임해야 한다는 점을 잊지 마시기 바랍니다.