


복부 CT는 현대 의학에서 매우 중요한 진단 도구로 자리잡고 있으며, 다양한 복부 질환을 시각적으로 확인할 수 있는 능력을 가지고 있습니다. 이 블로그 포스트에서는 복부 CT를 통해 진단할 수 있는 여러 가지 질병에 대해 흥미로운 관점에서 자세히 살펴보겠습니다. 과거에는 복부 질환을 진단하기 위해 수술이나 침습적인 방법이 필요했지만, 오늘날의 고급 영상 진단 기술 덕분에 비침습적으로 정확한 진단을 받을 수 있게 되었습니다. 이 포스팅에서는 복부 CT의 기초 및 유용성을 설명하면서, 경각심이 필요한 질병들을 직접적으로 조명하겠습니다. 자, 그럼 시작해볼까요?
복부 CT의 특징과 장점



복부 CT(Computed Tomography)는 방사선과 컴퓨터 기술을 결합하여 신체 내부 구조를 3차원으로 시각화하는 영상 진단 방법입니다. 일반적인 X-ray와는 차별화된 측면에서, 복부 CT는 단면 이미지를 연속적으로 수집하여 더욱 정밀한 진단이 가능합니다. 그러므로 의사들은 이를 활용해 매우 다양한 복부 질환을 진단하며, 이를 통해 조기 발견 및 치료 방안을 신속하게 결정할 수 있습니다.
복부 CT의 작동 원리



복부 CT 장비는 링 형태의 기계 내부에 방사선 투사 장치와 감지기가 내장되어 있습니다. 환자는 이 링 내부에 누워 있으며, 장비가 부드럽게 회전하면서 단면 이미지를 촬영합니다. 각각의 이미지들은 컴퓨터 소프트웨어에서 합쳐져 3차원의 고해상도 이미지를 생성하게 됩니다. 이러한 과정을 통해 의사는 대장, 간, 췌장, 신장 등 복부 각 장기의 상태를 면밀히 살펴볼 수 있습니다.
복부 CT의 장점



복부 CT의 여러 가지 장점에 대해 알아보겠습니다. 첫 번째로, **정확한 진단**이 가능합니다. 복부에 위치한 장기들은 서로 가까이 위치해 있으며, CT는 이들을 명확하게 구분하여 질병의 존재여부를 판단하는 데 큰 도움을 줍니다. 두 번째로는 **빠른 진행 속도**입니다. CT 촬영은 대개 5~10분 이내에 완료되기 때문에 환자에게 추가적인 불편함을 주지 않습니다. 마지막으로 **비침습적인 방법**이라는 점 또한 중요한 장점입니다. 이를 통해 환자는 수술 등과 같은 위험을 감수할 필요 없이 세밀한 검사를 받을 수 있습니다.
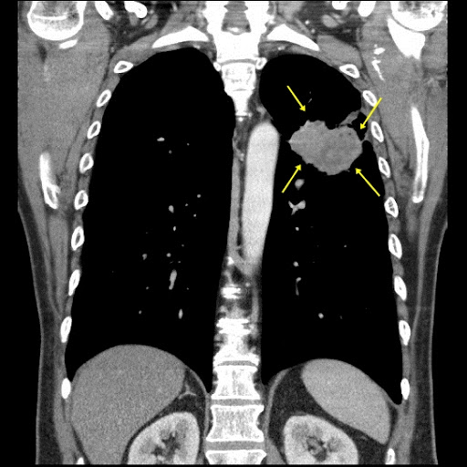
복부 CT로 진단할 수 있는 질병



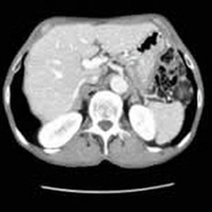
복부 CT는 수많은 질환을 진단하는 데 사용되며, 특히 몇 가지 주요 질병은 CT 검사에서 뚜렷하게 드러납니다. 이번 섹션에서는 복부 CT로 진단할 수 있는 대표적인 질병을 살펴보겠습니다. 이들 질병은 모두 환자에게 심각한 영향을 미칠 수 있는 만큼, 조기 발견이 무엇보다 중요합니다.
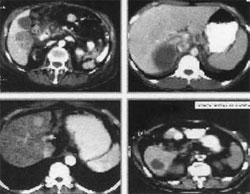
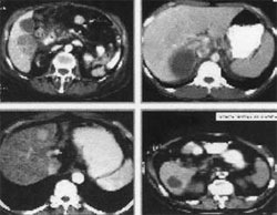
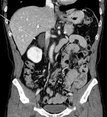
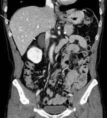
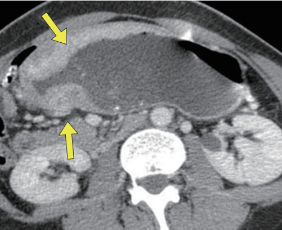
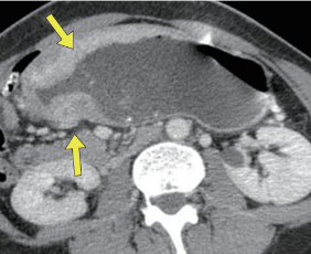
간 질환



간은 인체에서 가장 큰 장기 중 하나로, 여러 가지 중요한 기능을 수행합니다. 간 질환은 매우 일반적인 문제로, 신속하고 정확한 진단이 필요합니다. 복부 CT를 통해 간의 경화, 종양, 지방간 등 다양한 문제를 확인할 수 있습니다. 특히 간암의 경우, CT 촬영은 초기 단계에서 종양의 크기와 위치를 평가하는 데 중요한 역할을 합니다. CT 이미지는 간 내 혈관과 주변 조직의 상태를 상세히 보여주기 때문에, 간암이 다른 장기로 전이되었는지 파악하는 데도 유용합니다.
간암: 조기 진단의 중요성



간암은 조기 증상이 거의 없기 때문에 진단이 늦어지는 경우가 많습니다. 그러나 복부 CT를 통해 초기 증상을 발견할 수 있다면, 치료 옵션이 훨씬 다양해집니다. 간암의 원인으로는 간염 바이러스 감염, 알코올 남용, 비만 등이 있으며, 이들 요인을 관리함으로써 예방할 수 있습니다. CT 촬영을 통해 조기에 간암을 발견하면, 간 절제술이나 간 이식과 같은 치료를 통해 생존율을 높일 수 있습니다.
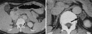
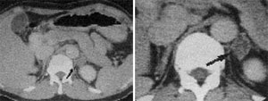
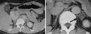
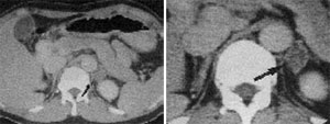
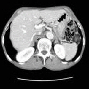
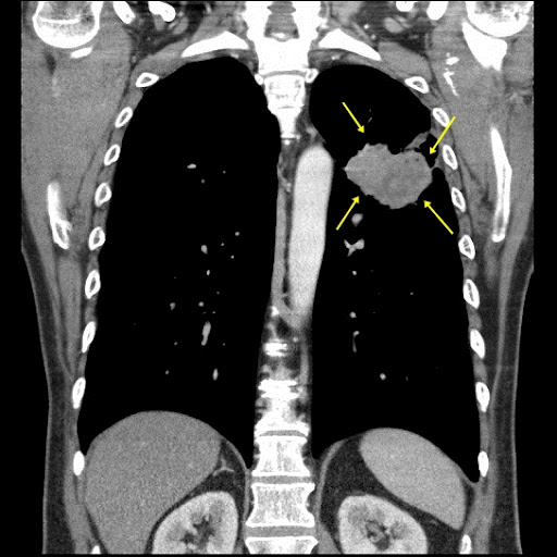
췌장 질환



췌장은 소화 효소와 인슐린을 생산하는 장기로, 만약 이 장기에 문제가 생기면 심각한 건강 문제가 발생할 수 있습니다. 췌장염, 췌장암 등은 복부 CT를 통해 손쉽게 진단할 수 있으며, 췌장의 구조와 주변 조직 간의 상호작용을 명확히 확인할 수 있습니다. 특히 췌장암은 조기 발견이 매우 어렵지만, CT를 통해 미세한 종양까지 확인이 가능하므로 결과적으로 치료 효과를 극대화할 수 있습니다.
췌장염: 원인과 증상



췌장염은 췌장이 염증으로 인해 기능을 상실하는 질환으로, 주로 알코올 소비와 그에 따른 지방 간섭이 주요 원인으로 알려져 있습니다. 췌장염의 증상으로는 극심한 복통, 구역질 등이 있으며, 이러한 증상을 주의 깊게 살펴보는 것이 중요합니다. 복부 CT 검사는 즉각적인 진단을 통해 적절한 치료 계획을 세우도록 도와줍니다.
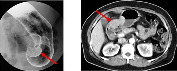
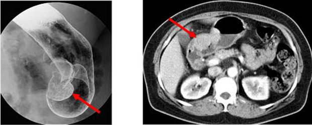
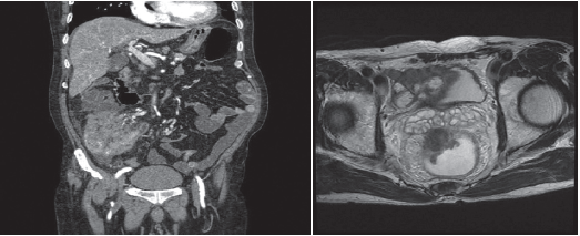
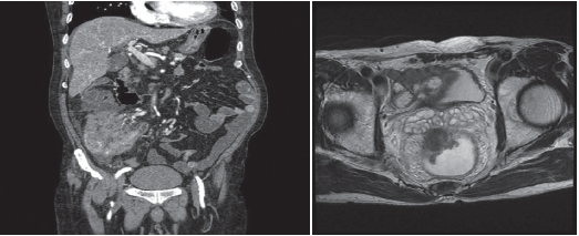
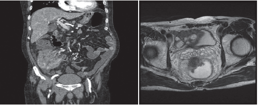
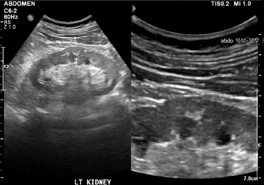
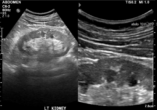
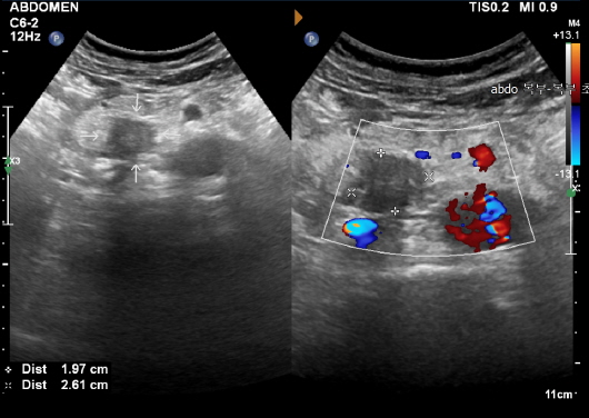
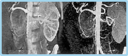
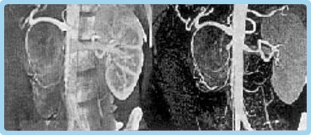
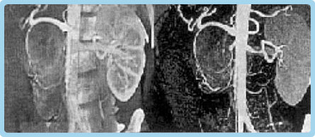
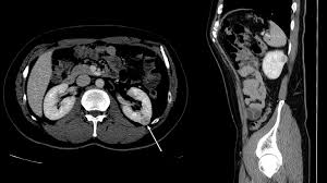
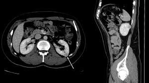
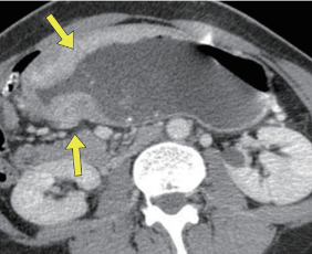
신장 질환



신장은 인체의 대사 노폐물을 제거하고 수분 및 전해질 균형을 유지하는 중요한 역할을 합니다. 신장에 문제가 발생하면 체내의 여러 기능이 부정적인 영향을 받을 수 있습니다. 복부 CT는 신장 결석, 신장 종양 및 기타 신장 관련 질환을 진단하는 데 도움을 줍니다.
신장 결석: 예방법과 치료 방법



신장 결석은 신장에서 형성된 경결된 물질로, 통증을 유발할 수 있습니다. 복부 CT는 결석의 위치와 크기를 정확하게 파악할 수 있으며, 이 정보를 바탕으로 적절한 치료 방법을 결정하는 데 매우 중요합니다. 결석이 발견되면, 물리치료, 약물 치료, 혹은 필요 시 수술이 고려될 수 있습니다. 신장 결석은 수분 보충과 균형 잡힌 식사를 통해 예방할 수 있으므로, 생활 방식의 변화 또한 동반되어야 합니다.
결론



복부 CT는 현대 의학에서 중요한 역할을 하며, 여러 가지 질병을 조기에 발견하는 데 큰 도움을 줍니다. 간 질환, 췌장 질환, 신장 질환 등 다양한 질병을 진단할 수 있는 이 도구는 비침습적이면서도 정밀한 검사를 제공하므로 활용 가치가 높습니다. 앞으로도 정기적인 건강 검진과 복부 CT 촬영을 통해 조기 진단의 중요성을 되새기며, 건강한 삶을 유지하는 데 힘써야겠습니다.