


상피내암은 암의 초기 단계로, 그 정의와 성질, 발생 원인, 그리고 치료 방법에 대한 이해가 중요합니다. 우리는 이 암이 어떻게 형성되는지, 어떤 분야에서 자주 발생하는지를 살펴보며, 상피내암이 환자에게 미치는 영향도 논의할 것입니다. 이 글을 통해 독자들은 상피내암에 대한 폭넓은 지식을 얻고, 조기 발견의 중요성과 예방 방법에 대해 고민해볼 수 있을 것입니다. 또한, 이러한 정보를 통해 환자와 그 가족들이 더 나은 결정을 내릴 수 있도록 도와주는 것이 이 글의 목표입니다.
상피내암의 정의와 성질



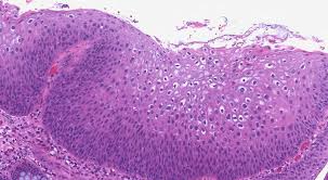
상피내암은 일반적으로 '상피'에서 시작되는 암의 일종으로, 그 세포가 비정상적으로 성장하면서 주변 조직으로 침범하지 않은 상태를 의미합니다. 이는 암의 초기 단계로 간주될 수 있으며, 조기 발견 시 치료가 용이하고 완치 가능성이 높습니다. 상피세포는 우리 몸의 여러 장기와 조직 표면을 덮고 있는 세포들로, 피부와 장기를 보호하는 중요한 역할을 합니다. 상피내암은 이와 같은 상피세포에서 발생하며, 이 세포들이 비정상적으로 변형되어 있습니다.



상피내암의 가장 큰 특징은 주변 조직으로 아직 침범하지 않았다는 점입니다. 이는 암이 진행되는 과정을 이해하는 데 있어 중요한 요소입니다. 초기 단계에서 상피내암은 '전이'라고 하는, 암세포가 다른 신체 부위로 퍼지는 현상이 발생하지 않으므로, 치료 목표가 매우 분명합니다. 상피내암은 다양한 부위에서 발생할 수 있으며, 이에는 유방, 자궁경부, 대장, 폐 등이 포함됩니다. 각 부위에서의 상피내암은 각각의 특성과 치료 방법이 다르므로, 정확한 진단과 적절한 치료가 필요합니다.
상피내암의 발생 원인



상피내암 발생 원인은 다양한 요인에 의해 영향을 받습니다. 가장 일반적인 요인은 유전적 요인, 환경적 요인, 그리고 생활 습관입니다. 유전적 요인은 가족력이 있는 경우 상피내암의 위험성이 높아질 수 있으며, 특정 유전자가 변형되면 이러한 암이 발생할 가능성이 증가합니다.



환경적 요인으로는 흡연, 방사선 노출, 특정 화학물질에의 노출 등이 있습니다. 예를 들어, 흡연은 폐와 구강 위암의 주요 원인으로 알려져 있으며, 이는 상피내암으로 발전할 수 있는 경향이 있습니다. 이러한 요인들은 세포의 DNA에 손상을 입혀 비정상적인 세포 성장을 유도하게 됩니다. 또한, 만성 염증도 상피내암 발생에 기여할 수 있는 요인 중 하나입니다. 잦은 염증 반응은 세포의 생존 및 성장에 영향을 미쳐 결국 비정상적인 세포의 증식을 초래할 수 있습니다.
상피내암 진단과 종류



상피내암의 진단은 일반적으로 조직검사에 의해 이루어지며, 이를 통해 세포의 비정상성을 확인합니다. 자궁경부의 경우, 팝 스미어 검사(세포진 검사)를 통해 조기 진단이 가능합니다. 대장내시경을 이용한 대장암 조기 발견에서도 상피내암이 진단될 수 있습니다.
상피내암은 그 발생 위치에 따라 여러 가지 종류로 나눌 수 있습니다. 대표적인 상피내암의 종류는 다음과 같습니다:



- 자궁경부 상피내암 (Cervical Carcinoma In Situ)
- 유방 상피내암 (Ductal Carcinoma In Situ)
- 대장 상피내암 (Colorectal Carcinoma In Situ)
- 피부 상피내암 (Squamous Cell Carcinoma In Situ)
각 종류의 상피내암은 발생 지점에 따라 특정 증상과 특징을 보입니다. 예를 들어, 자궁경부 상피내암의 경우, 초기에는 증상이 거의 없지만, 진행 시에는 비정상적인 출혈이나 통증 등의 증상이 나타날 수 있습니다. 이러한 증상들은 여성이 정기적으로 건강 검진을 받는 것이 얼마나 중요한지를 잘 보여줍니다.
상피내암 치료 방법



상피내암의 치료는 일반적으로 종양의 위치와 진행 단계에 따라 다르지만, 초기 단계에서 발견된 경우 치료의 목표가 매우 구체적입니다. 적절한 치료는 암세포의 완전 제거와 예방을 목표로 하며, 다음과 같은 방법이 있습니다:
- 수술적 치료
- 방사선 치료
- 약물 치료
- 면역 요법
첫 번째로, 수술적 치료는 상피내암 세포가 있는 부위를 절제하여 제거하는 방법입니다. 이 방법은 초기 단계에서 즉각적인 효과를 볼 수 있으며, 잘 진행될 경우 암이 더 이상 퍼지지 않도록 예방할 수 있습니다. 특히 자궁경부 상피내암의 경우, 전신 마취 하에 수술이 이루어지며, 종종 자궁이나 임파선까지 절제될 수 있습니다.



방사선 치료는 암세포를 파괴하는 데 도움을 주며, 수술 후 잔여 암세포 제거를 목표로 할 때 사용됩니다. 약물 치료는 항암제를 이용하여 암세포의 성장을 저해하는 방식이며, 면역 요법은 면역 체계를 강화하여 암을 스스로 퇴치하게끔 돕는 방법입니다. 이러한 치료들은 각각의 종류의 상피내암에 따라 다르게 적용될 수 있습니다.
상피내암의 치료에는 많은 전문가의 협력이 필요합니다. 종양학자, 외과의사, 방사선 전문의 등 다양한 전문의와의 상담을 통해 최선의 치료 방법을 찾아가는 것이 중요합니다. 조기 발견과 조기 치료는 환자의 생존율을 높이는 중요한 요소이며, 이러한 절차를 통해 상피내암 환자들은 치료에 긍정적인 결과를 기대할 수 있습니다.
결론



상피내암은 암의 초기 단계로 발생할 수 있는 중요한 질병입니다. 조기 발견 및 예방이 가능하다는 점에서 매우 중요한 의미를 갖습니다. 진단이 쉽고 치료가 용이하다는 점에서, 정기 검진과 자기 관리가 무엇보다 필요합니다. 상피내암의 위험 인자를 알고, 건강한 생활 습관을 유지함으로써 상피내암을 예방할 수 있는 방법을 찾아내는 것이 중요합니다. 또한, 상피내암과 같은 질병에 대한 이해가 깊어질수록, 우리는 더 많은 환자들이 이를 극복하고 건강한 삶을 영위할 수 있도록 돕는 과정에 기여할 수 있습니다.