


장상피화생이라고 하는 생리학적 현상에 대해 깊이 있게 알아보는 것은 우리의 건강을 이해하는 데 큰 도움이 됩니다. 많은 사람들이 이 용어를 들어본 적이 있지만, 실제로 무엇을 의미하는지는 잘 모르고 지나치곤 합니다. 장상피화생은 위장관에서 발생하는 중요한 변화 중 하나로, 특정한 환경 요인이나 질병으로 인해 위장의 상피세포가 다른 형태의 세포로 대체되는 과정을 의미합니다. 이 블로그 포스트에서는 장상피화생의 정의, 원인, 증상, 진단 방법, 치료 및 예방 방법에 대해 자세히 살펴보도록 하겠습니다. 또한, 장상피화생에 대한 최신 연구 결과와 관련된 유익한 정보를 제공하여 독자들이 올바른 지식을 가지고 이 현상에 대응할 수 있도록 도울 것입니다.
장상피화생의 정의와 생리학적 기초



장상피화생은 주로 위장관의 상피세포가 점차적으로 다른 유형의 세포로 변화하는 것을 나타내며, 이는 일반적으로 염증이나 자극에 대한 반응으로 발생합니다. 이 과정은 정상적으로 존재하는 위 상피세포가 장 상피세포로 변형되는 식으로 진행됩니다. 이러한 변형은 종종 만성적인 위염, 헬리코박터 파일로리 감염, 위장 질환 등 다양한 요인에 의해 촉발될 수 있습니다. 장상피화생은 초기에는 무증상일 수 있으나, 진행됨에 따라 위 및 장 기능에 심각한 영향을 미칠 수 있습니다.
장상피화생의 발생 메커니즘



장상피화생의 발생은 상당히 복잡한 생리학적 과정을 포함합니다. 장상피화생이 발생하는 과정은 대개 다음과 같은 경로를 통해 진행됩니다. 우선, 어떤 자극이나 염증이 발생하면, 위 점막 내의 세포들이 스트레스를 받게 됩니다. 이로 인해 장의 상피세포와 유사한 성질을 가진 세포가 생성되고, 이러한 세포들은 기존의 정상적인 위 상피세포를 대체하게 됩니다.
- 염증 반응의 역할: 위의 염증은 위 점막 세포의 사멸을 유발하고, 그 자리를 새로운 세포가 채우도록 유도합니다. 이 과정에서 장상피화생이 진행됩니다.
- 헬리코박터 파일로리 감염: 이 세균 감염은 만성적인 위염을 유발하고, 이는 장상피화생으로 이어질 수 있습니다. 지속적인 감염은 세포의 재생과 분화를 방해하여 변화된 세포가 나타나게 됩니다.
장상피화생이 발생하는 이유에 대한 깊은 통찰을 제공하기 위해서는 세포의 유전적 변화와 대사 경로의 수정에 대해서도 논의해야 합니다. 이러한 변화들은 결국 위장관의 기능을 약화시키고, 다양한 소화기 질환의 위험을 증가시킬 수 있습니다.
장상피화생의 원인과 위험 요소



장상피화생의 원인은 다양하며, 이들 요인은 서로 상호작용하여 발생할 수 있습니다. 특히 만성적인 자극이 가장 주요한 원인으로 알려져 있으며, 주요 원인으로는 헬리코박터 파일로리 감염, 장기간의 약물 사용, 그리고 유전적 요인 등이 있습니다.
헬리코박터 파일로리 감염



헬리코박터 파일로리는 많은 사람들의 위장에 서식하는 박테리아로, 이들은 위의 점막에 손상을 입히고 만성염증을 유발할 수 있습니다. 이러한 감염이 지속되면 점막의 정상 세포가 손상받고, 장상피화생이 발생할 가능성이 높아집니다. 따라서, 헬리코박터 감염이 발생했을 경우에는 적절한 치료를 통해 감염을 해결하는 것이 중요합니다.
약물 사용



장기간 사용되는 특정 약물, 특히 비스테로이드성 항염증제(NSAIDs)나 항생제는 위 점막에 손상을 줄 수 있습니다. 이러한 약물은 위의 자연 보호막을 파괴하여 염증을 유발하고, 궁극적으로 장상피화생을 초래할 수 있습니다. 따라서 이러한 약물을 사용하는 경우에는 의사와 상담하여 적절한 사용 방법을 익히는 것이 매우 중요합니다.
유전적 요인



유전적 요인도 장상피화생의 발생에 영향을 미칠 수 있습니다. 가족력이 있는 경우, 위장 관 질환에 더 취약할 수 있으며, 특정 유전자가 장상피화생과 관련이 있을 수 있습니다. 이에 대한 연구가 진행되고 있으나, 여전히 추가적인 증거를 필요로 하고 있습니다.
장상피화생을 예방하거나 조기에 발견하기 위해서는 이러한 위험 요소를 이해하고, 건강한 생활 습관을 유지하는 것이 중요합니다. 규칙적인 건강 검진과 함께 영양 균형을 갖춘 식단을 유지하는 것이 큰 도움이 될 것입니다.
장상피화생의 증상과 진단 방법



장상피화생은 초기에는 대부분 무증상으로 진행되지만, 상태가 심해지면 다양한 증상이 나타날 수 있습니다. 일반적으로 나타날 수 있는 증상은 다음과 같습니다.
- 소화불량이나 위통
- 체중 감소
- 빈혈
- 식욕 부진
이런 증상들은 일반적으로 다른 소화기 질환에서도 발견될 수 있기 때문에, 정확한 진단이 중요합니다. 장상피화생 진단을 위한 첫 번째 단계는 주로 내시경 검사입니다. 내시경을 통해 위장관의 내부 상태를 직접 관찰하고, 필요 시 조직 검사를 통해 장상피화생 여부를 확인할 수 있습니다.
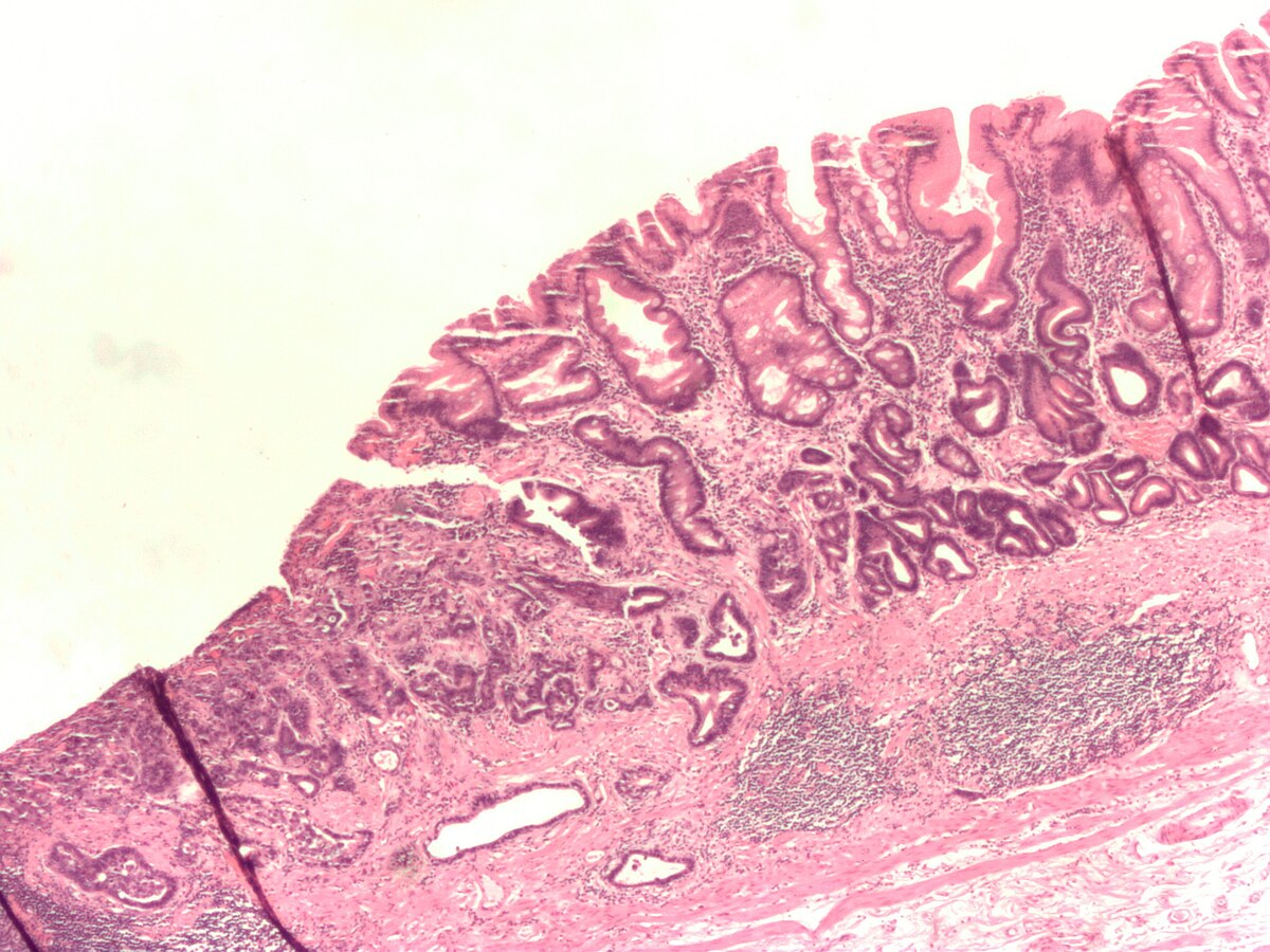
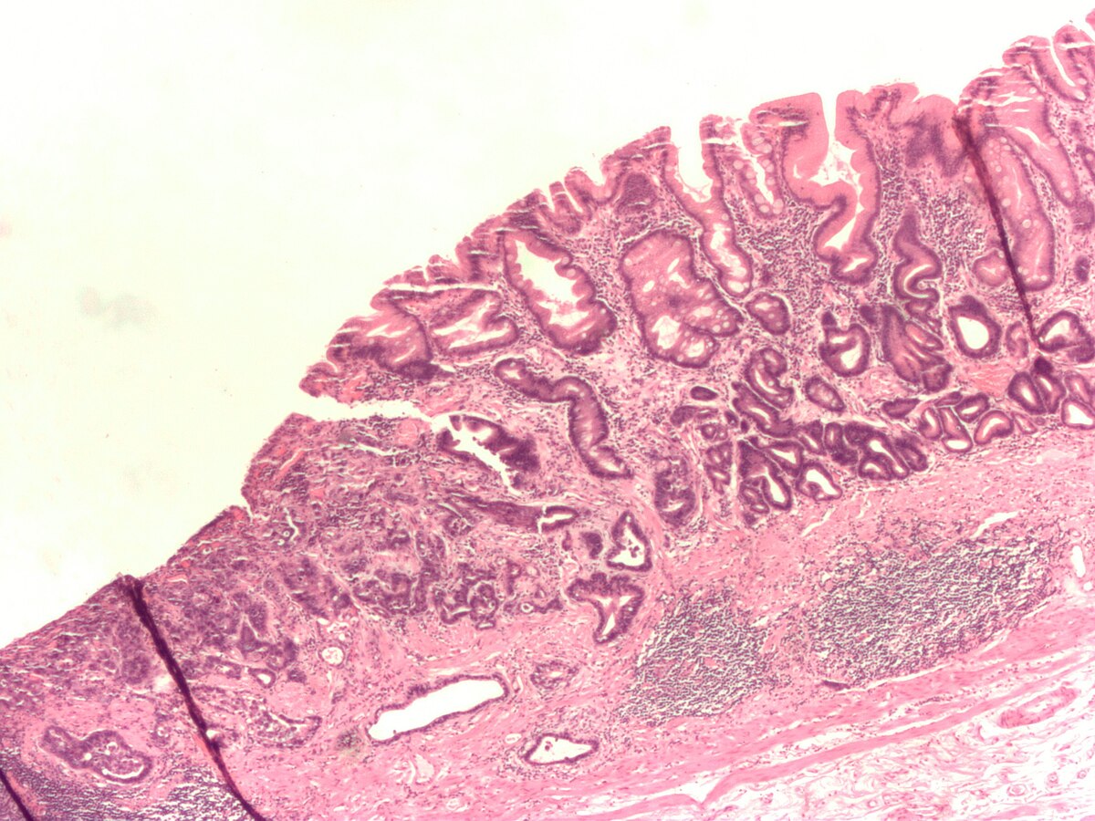
조직 검사와 생검



조직 검사는 장상피화생의 진단에서 가장 중요한 역할을 합니다. 생검을 통해 얻은 조직 샘플을 현미경으로 분석함으로써 세포의 변화를 확인할 수 있습니다. 이 과정에서 세포의 형태와 구조의 변화를 관찰하고, 장상피화생의 여부를 판단합니다. 이를 통해 장상피화생이 진행 중인지, 아니면 초기 단계인지 여부를 파악할 수 있습니다.
장상피화생의 진단은 조기에 이루어지는 것이 중요합니다. 증상이 경미할 때 발견된다면, 조기 치료를 통해 진행을 늦출 수 있으며, 궁극적으로 위장관 건강을 보호할 수 있습니다.
장상피화생의 치료 및 관리 방법



장상피화생의 치료는 원인에 따라 차별화되어야 합니다. 헬리코박터 파일로리 감염이 원인이라면, 항생제 치료를 통해 감염을 제거하는 것이 중요합니다. 또한, 약물로 인한 장상피화생이 원인인 경우에는 해당 약물의 사용을 중단하거나 조절하는 것이 바람직합니다.
약물 치료
장상피화생을 관리하기 위해 주로 사용하는 약물 치료 방법은 다음과 같습니다.
- 프로톤 펌프 억제제(PPIs): 위산을 줄여 위 점막의 회복을 도와줍니다.
- H2 수용체 길항제: 위산 분비를 억제하여 위 점막을 보호합니다.
해당 약물들은 의사의 처방 하에 사용되며, 개인의 상태에 따라 조절될 수 있습니다. 경우에 따라서는 비타민 B12와 같은 영양 보충제를 통해 영양 결핍을 방지할 필요도 있습니다.
생활 습관 및 식이 요법



약물 치료와 함께 건강한 생활 습관을 유지하는 것이 장상피화생 관리에 큰 도움이 됩니다. 건강한 식단을 유지하고, 규칙적인 운동을 통해 신체 기능을 개선하는 것이 중요합니다. 특히, 지방이나 알콜의 섭취를 줄이고, 섬유질이 풍부한 식사를 하는 것이 좋습니다. 또한, 소화기 건강에 좋지 않은 음식이나 음주, 흡연은 피해야 합니다.
장상피화생의 치료 및 관리는 전체적인 장 건강을 영향을 미칠 수 있기 때문에 매우 포괄적이어야 합니다. 조기 발견과 치료는 최선의 예방책이 됩니다.
장상피화생 예방을 위한 방법
장상피화생을 예방하기 위해서는 일반적인 건강 관리 및 생활 습관이 중요합니다. 아래와 같은 방법들을 통해 장상피화생의 위험을 줄일 수 있습니다.
- 정기적인 검진 및 내시경 검사: 위험 인자가 있는 경우, 조기 발견 및 조기를 위한 정기적인 검사 필요.
- 균형 잡힌 식사: 신선한 과일과 채소, 섬유소가 풍부한 음식을 섭취하며, 가공식품은 최소화.
- 스트레스 관리: 스트레스는 염증을 유발할 수 있으므로, 운동, 명상 등을 통해 관리.
부디 이러한 정보를 바탕으로 자신의 건강을 지키는 데 도움이 되기를 바랍니다. 장상피화생은 초기에는 별다른 증상이 없으므로 조기 진단이 가장 중요합니다. 스스로의 건강을 지속적으로 관리하며, 필요한 경우 전문가의 도움을 받는 것도 필요한 방법입니다.
이 글이 여러분에게 도움이 되셨기를 바랍니다. 장상피화생에 대한 더 많은 정보가 필요하시다면 언제든지 전문가와 상의하시기 바랍니다.