


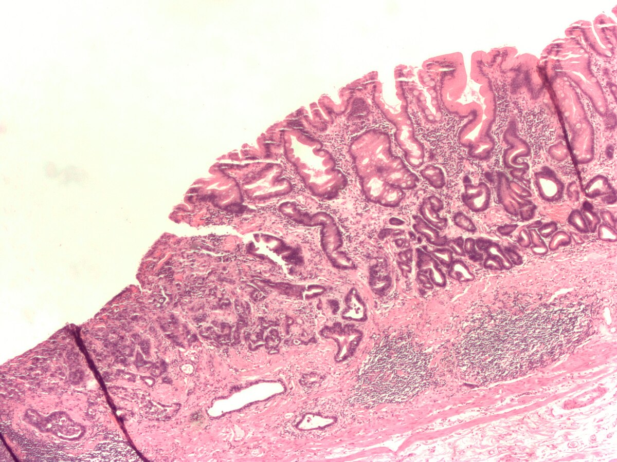
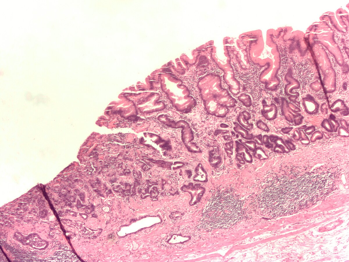
장상피화생(腸上皮化生)은 위장관 질환 중 하나로, 위 또는 장의 상피세포가 비정상적으로 증식하고 변화하는 과정을 의미합니다. 이는 일반적으로 만성적인 염증이나 자극에 의해 발생하며, 이런 변화는 잠재적으로 암으로 발전할 수 있어 매우 중요하게 다뤄져야 합니다. 본 포스트에서는 장상피화생이 암으로 변하는 기간, 즉 이 변환 과정의 메커니즘과 관련된 여러 요소들을 심층적으로 알아보겠습니다. 장상피화생은 그 자체로는 무해할 수 있지만, 그 진행 경과가 암으로 이어질 수 있음을 경계해야 합니다.
장상피화생의 정의와 원인



장상피화생은 비정상적인 세포 변화로, 주로 위장관의 상피세포가 변형되어 발생합니다. 이는 만성적인 염증, 감염, 그리고 환경적 요인에 의해 유도됩니다. 여기서는 장상피화생의 정의와 원인에 대해 구체적으로 살펴보겠습니다.
장상피화생의 정의



장상피화생은 위장관 내의 상피세포가 장 상태로 변화하는 것을 의미합니다. 정상적인 상피 세포가 변형되어 비정상적으로 증식하게 되며, 이는 만성적인 염증 상태에서 주로 발생합니다. 이 현상은 위염, 역류성 식도염과 같은 여러 질환과 관련이 깊으며, 시간이 경과함에 따라 더욱 심화될 수 있습니다.
장상피화생의 원인



장상피화생의 주요 원인은 다음과 같습니다:
- 만성 염증: 지속적인 염증 반응은 세포 손상을 유발하고 이로 인해 장상피화생이 발생할 수 있습니다.
- 헬리코박터 파일로리 감염: 이 세균은 위염과 위궤양을 일으키며, 궁극적으로 장상피화생으로 발전할 수 있습니다.
- 환경적 요인: 흡연, 알코올, 비만 등 생활습관은 장상피화생의 위험성을 높이는 요인입니다.
만성 염증의 역할



만성 염증은 장상피화생의 주요 원인 중 하나입니다. 위와 장의 지속적인 염증은 세포 변형을 초래하고, 이는 면역계의 반응을 유도하여 비정상적인 세포 성장으로 이어질 수 있습니다. 이 과정은 시간이 지남에 따라 점진적으로 악화되며, 만약 적절한 관리가 이뤄지지 않을 경우, 최종적으로는 암으로 발전할 수 있습니다.
장상피화생과 암의 관계



장상피화생은 암으로의 변환 가능성이 있는 중요한 병리학적 상태입니다. 따라서 장상피화생의 발생 및 진전과 함께 암으로 발병하는 기간에 대한 이해는 매우 중요합니다. 이번 섹션에서는 이와 관련된 메커니즘과 연구 결과를 살펴보겠습니다.
발전 과정 이해하기



장상피화생이 암으로 발전하는 과정은 일반적으로 다음과 같은 단계를 거칩니다. 이러한 단계들은 다양한 연구를 통해 입증되었으며, 세포의 유전적 변이와 환경적 요인의 상호작용이 중요한 역할을 합니다.
- 초기 변화: 장상피화생이 발생하면 세포가 비정상적으로 변화하기 시작합니다.
- 세포의 변이: 변형된 세포는 DNA 변이를 일으켜 성장 신호를 지속적으로 발현하게 됩니다.
- 프리 암 상태: 시간이 지남에 따라 이러한 세포는 더욱 분화된 형태로 발전하게 되고, 암 세포로의 전환 가능성이 높아집니다.
장상피화생에서 암으로의 변환 시간



장상피화생에서 암으로 변환되는 기간은 개인에 따라 다르며, 여러 요인에 의해 영향을 받습니다. 연구에 따르면, 장상피화생이 암으로 발전하는 것은 보통 수년에서 십수년에 이르는 장기적인 과정으로 관찰되고 있습니다. 다만, 이 기간은 각 개인의 건강 상태, 유전적 요인 및 환경적 요인에 따라 상이할 수 있습니다.
따라서 장상피화생이 진단된 경우, 정기적인 검진과 전문의의 상담을 통해 상태를 꾸준히 모니터링하는 것이 매우 중요합니다. 암으로의 발전 가능성을 최소화하기 위해서는 예방적인 조치와 함께 조기 발견이 핵심입니다.
예방 및 관리 방법



장상피화생의 예방 및 관리는 매우 중요합니다. 예방적인 조치를 통해 장상피화생의 진행을 늦추거나 저지할 수 있으며, 이는 암 발생 위험을 줄이는 데 기여할 수 있습니다. 이번 섹션에서는 예방 및 관리 방법에 대해 자세히 알아보겠습니다.
예방적 조치



장상피화생을 예방하기 위해 고려해야 할 사항들은 다음과 같습니다:
- 건강한 식습관: 신선한 과일, 채소, 곡물, 그리고 건강한 지방으로 구성된 균형 잡힌 식사를 통해 장 건강을 유지하는 것이 중요합니다.
- 정기적인 운동: 규칙적인 신체 활동은 비만을 예방하고 전반적인 건강 상태를 개선하는 데 도움이 됩니다.
- 흡연 및 음주 절제: 흡연과 과도한 음주는 장상피화생의 위험을 증가시키므로, 이를 피하는 것이 바람직합니다.
의료 관리



장상피화생의 관리에는 다음과 같은 의료적 조치들이 포함됩니다:
- 정기 검진: 전문의를 통한 정기적인 검진을 통해 장상피화생의 진행 상태를 모니터링합니다.
- 약물 치료: 필요한 경우 전문의의 처방에 따라 약물 치료를 통해 염증을 조절할 수 있습니다.
- 생활습관 개선: 건강한 생활습관을 채택하여 전반적인 건강 개선을 추구합니다.
위의 예방 및 관리 방법을 통해 장상피화생으로 인한 암 발생 위험을 줄일 수 있습니다. 무엇보다도 조기에 발견하고 관리하는 것이 중요하니, 건강 검진을 게을리하지 않도록 해야 합니다.
결론
장상피화생은 암으로 발전할 수 있는 잠재적인 위험성을 가지고 있는 질환입니다. 본 포스트를 통해 우리는 장상피화생의 정의와 원인, 암으로 발전하는 과정 및 기간, 그리고 예방 및 관리 방법에 대해 상세히 살펴보았습니다. 건강한 생활습관을 지키고 정기적인 검진을 통해 장상피화생으로 인한 암 발생 위험을 줄이는데 힘써야 할 것입니다. 이러한 과정은 개인의 건강을 지키는 것뿐만 아니라, 전반적인 삶의 질을 향상시키는 데도 기여할 것입니다. 건강은 무엇과도 바꿀 수 없는 만큼, 미래를 위한 균형 잡힌 생활을 항상 유지하는 것이 중요합니다.