


의료 기술의 발전은 우리에게 많은 혁신을 가져왔으며, 이를 통해 진단과 치료 방법이 획기적으로 개선되었습니다. 오늘 이야기는 바로 이러한 혁신 중 하나인 MRI 및 MRA에 관한 것입니다. 많은 사람들이 MRI와 MRA를 혼동할 수 있지만, 두 검사 방법은 각각의 고유한 목적과 특징을 가지고 있습니다. 이번 블로그 포스트에서는 MRI와 MRA의 차이점, 각 방법의 주요 기능, 적응증, 장단점 등을 상세하게 살펴보겠습니다. 이 과정을 통해 독자들이 이 두 가지 영상 진단 방법의 특성을 명확히 이해할 수 있도록 도와드릴 것입니다.
MRI와 MRA의 기본 개념 이해하기



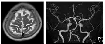
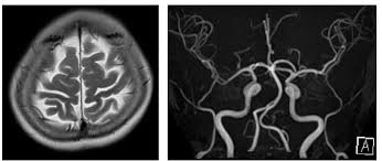
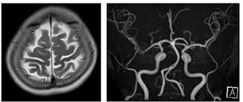
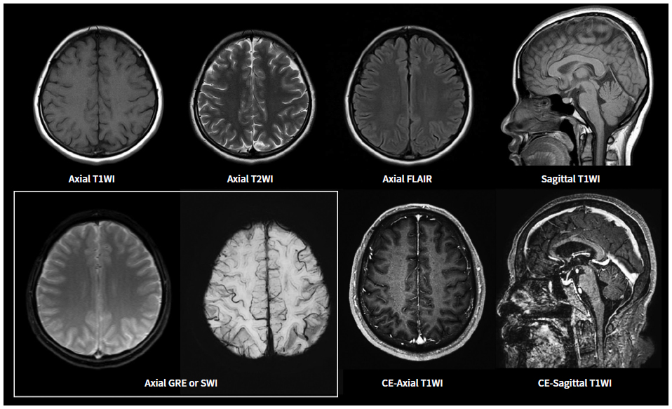
MRI(자기 공명 영상)은 강력한 자기장과 라디오파를 이용하여 체내 조직의 이미지를 생성하는 기술입니다. MRI는 연부 조직, 즉 뇌, spinal cord, 근육, 그리고 다양한 내장 장기 등을 상세하게 볼 수 있는 특징이 있습니다. 주로 신경계, 근골격계 및 종양 연구의 진단 도구로 사용됩니다.
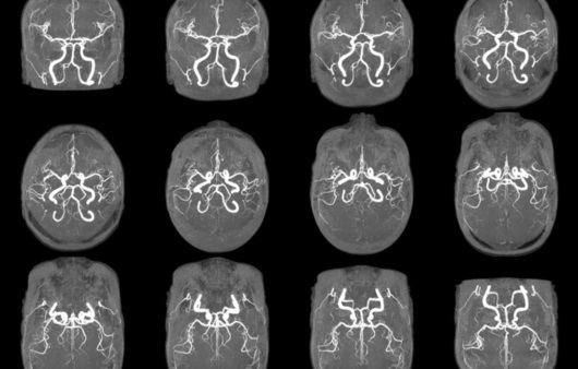
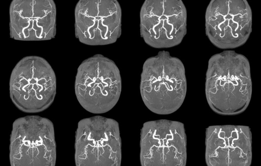
반면에 MRA(자기 공명 혈관 영상)는 MRI의 일종으로, 혈관의 이미지를 생성하는 데 초점을 맞추고 있습니다. 이는 혈관의 구조 및 흐름을 평가하는 데 유용하며, 주로 심혈관 질환의 진단에 사용됩니다. MRA는 특히 혈관의 협착이나 막힘, 동맥류와 같은 혈관 관련 문제를 발견하는 데 매우 유용합니다.
MRI의 작동 원리와 적용



MRI는 인체 내의 수소 원자의 자기적 성질을 이용하여 이미지를 생성합니다. 강력한 자기장이 수소 원자를 정렬시킨 후, 라디오 파를 통해 이들을 자극하여 방출되는 신호를 수집합니다. 수집된 신호는 컴퓨터에 의해 해석되어 이미지를 만들어 내는데, 이 과정에서 세부적인 이미지가 생성되어 체내 구조를 명확하게 볼 수 있게 됩니다.
- 연부 조직을 상세히 분석할 수 있다.
- 종양의 크기와 위치를 정확히 파악할 수 있다.
- 신경계의 문제를 진단하는 데 효과적이다.
MRI는 종종 다음과 같은 경우에 사용됩니다.
- 신경계 문제(뇌종양, 뇌졸중 등)의 진단
- 근골격계 질환(관절염, 연골 손상 등)의 평가
- 복부 및 흉부 장기의 비정상적인 상태 파악
MRA의 작동 원리와 적용



MRA는 MRI의 기법을 기반으로 하므로, 기본적으로는 동일한 작동 원리를 가지고 있지만, 약간의 차이점이 있습니다. MRA는 특히 혈관을 시각화하는 데 최적화되어 있으며, 주로 조영제를 사용하여 혈관을 더욱 뚜렷하게 구분합니다. 조영제는 혈관 내에서 신호의 차이를 만들어 신호 강도를 높여줍니다. 이로 인해 혈관의 형태와 상태를 더욱 명확하게 시각화할 수 있습니다.
- 혈관 질환의 조기 발견에 특화되어 있다.
- 비침습적인 방법으로 혈관 상태를 평가할 수 있다.
MRA는 다음과 같은 상황에서 자주 사용됩니다.
- 동맥류 및 혈관 협착의 평가
- 심혈관 질환 위험 환자의 혈관 상태 진단
- 선천적 심장 질환 및 혈관 기형의 확인
MRI와 MRA의 장단점 비교
MRI의 장점과 단점



MRI는 비침습적이며 방사선 노출이 없는 검사 방법입니다. 이는 여러 번 반복할 수 있는 큰 장점이 있으며, 다양한 연부 조직을 고해상도로 시각화할 수 있기에 진단의 정확성을 크게 높여줍니다. 이러한 이유로 의료 전문가들은 MRI를 많이 활용합니다.



하지만 단점도 존재합니다. 첫째로, MRI는 검사 시간이 상대적으로 길고, 일부 환자들은 폐쇄감 때문에 불안감을 느낄 수 있습니다. 둘째로, 금속 임플란트를 가진 환자들은 검사가 불가능할 수 있습니다. 셋째로, 강한 자기장을 사용하기 때문에 특정 상황에서는 위험할 수 있습니다.
MRA의 장점과 단점



MRA는 비침습적 혈관 영상 방법으로, 혈관의 상태를 빠르고 효과적으로 파악할 수 있는 장점이 있습니다. 이는 특히 혈관 질환을 가진 환자들에게 매우 중요한 요소입니다. 또한, 다른 진단 방법에 비해 비교적 적은 시간 내에 검사가 가능합니다.
그러나 MRA의 단점으로는 조영제를 사용해야 하는 경우가 많아서 일부 환자들에게 알레르기 반응을 일으킬 수 있습니다. 또한, MRA는 혈관의 구조를 잘 보여주지만, 인근 연부 조직에 대한 정보는 제한적이기 때문에 경우에 따라 MRI와 병행하여 사용해야 할 필요가 있습니다.
결론: MRI와 MRA의 적절한 선택



MRI와 MRA는 각각 특정한 목적과 장점을 가진 검사 방법입니다. 따라서, 이러한 두 가지 검사 방법의 차이점을 잘 이해하고 상황에 따라 적절하게 선택하는 것이 매우 중요합니다. 이러한 선택은 정확한 진단을 통해 환자의 치료 방향을 결정하는 데 큰 도움이 됩니다. 각 기술의 필요성과 적응증에 따라 적절한 선택을 하는 것은 의료 전문가의 역할인 동시에, 환자 자신도 자신의 몸 상태에 대해 이해하고 선택할 수 있는 지식을 갖추는 것이 필요합니다.



의료 기술의 발전이 가져온 변화는 우리에게 많은 선택지를 제공하고 있습니다. MRI와 MRA 역시 그 중 하나로, 이 두 가지 영상 진단 방법은 각각의 고유한 역할을 가지고 있습니다. 이 글이 여러분이 이 두 검사 방법의 특성을 이해하는 데 도움이 되었기를 바랍니다.